外二科完成一例胆管肿瘤突发消化道穿孔患者抢救
- 2021-06-04
5月28日晚上11点,肿瘤放疗科打来的一个电话让王玉文(沈阳六院外二科主任)睡意全无——“王主任快来,有位住院患者消化道穿孔,得赶紧手术!”
28日,63岁的老周,因为梗阻性黄疸,慕名市六院肿瘤放疗科住院治疗,多项检查结果显示,他胆总管下端有肿瘤,高度考虑是远端胆管癌。当晚10点多,老周正在和家属研究到哪去做手术的事,右侧腹部忽然剧痛难忍。
肿瘤放疗科立即请外二科会诊。王玉文为老周会诊时,由于黄疸长时间居高不下(380,正常值为0-20),他周身黄染,巩膜严重泛黄。全腹CT结果显示腹腔内大量游离气体,十二指肠球部变形。
凭借多年经验,王玉文果断做出判断,老周是十二指肠溃疡出现穿孔。消化液已经顺着穿孔流进了腹腔,甚至已经引起了严重的腹腔感染。

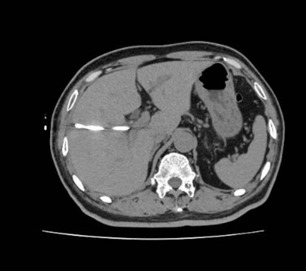
图为患者十二指肠部位的穿孔 十二指肠穿孔属于外科急症,别说伴有如此高的黄疸,单单就是腹腔内的消化液继发感染,就随时可能要了老周的性命,必须马上处理!但是手术方式 怎么选择呢?患者胆管肿瘤需要做“胰头十二指肠切除术”,这可是普外科里“创伤最大、并发症最多”的手术! 手术不仅需要切掉胆囊、部分胆管、十二指肠、部分胃以及胰腺头部组织,还需要重建消化道的连续性,将胆管、胰腺、胃和小肠重新吻合在一起,而此时,已经发 生消化道穿孔的腹腔内,很可能已经产生了严重的感染,加上目前380的高黄疸,如此复杂重大的手术将使病人面临更加复杂、危险的境况。术后全身感染、吻合 口漏、肝衰竭等并发症将成为医患双方的梦魇,手术难谈成功。 当务之急,一是引流胆汁,二是解决解患者的急性穿孔,三是尽量减少对进一步肿瘤根治手术的影响。这个三合一的难题,是否有解呢?王玉文心里已经有谱了。 图为王玉文为患者行腹腔镜微创术 凌晨一点,患者被紧急推进手术室,进行了腹腔镜下十二指肠穿孔修补+经皮经肝胆汁引流术。 先下胆道引流管,把积在胆道里的胆汁引流出来。由于堆积在胆道里时间过长,引流出来的胆汁已经呈现墨绿色,如同尚未浇灌的沥青。胆汁成功引流之后,腹腔镜下修补穿孔的“重头戏”就来了。 腔镜镜头从肚脐进入,手术缝针从肚皮上另外2个小孔进入腹腔,找到并缝闭十二指肠穿孔,大量盐水冲洗腹腔清除脓液……手术持续了80分钟,干脆利落,非常成功! 图为患者接受胆道引流术后CT 就这样,王玉文团队以最小的创伤(腹腔镜微创技术),同时解决了老周的两大急症。术后一周,白细胞、降钙素原、胆红素等都在下降,老周身体恢复得很快。经过初步的评估,老周很快能可以接受胆管肿瘤切除手术了。 王玉文几次查房,老周都激动地握着王玉文的手,“小创伤,治大病,王主任真厉害,六院真厉害!”。老周的家属也当即拍板——“六院有这么好的大夫,咱们家属还有啥不放心的,胆管肿瘤切除的大手术,咱也得在六院做!” 谈到这次手术,王玉文主任说,“医生不止是要治好眼前的急症,更要针对患者的病程做通盘考虑,选择最适合个体的治疗方式,因为手术刀下的患者,首先是一个活生生的人”。 多年来,沈阳六院立足肝胆胃肠传统优势,坚持“大综合、强专科”的发展道路,实现了多学科协同并进,努力将“大医精诚”的仁心仁术,体现在每一次患者救治中,满足广大市民的就医需求,让沈阳人拥有健康生活! 供稿:外二科 编辑:宣传科 审核:王磊石

