沈阳六院打造数字化骨科——复杂骨手术也能微创做
- 2021-09-15
近日,沈阳市第六人民医院骨科王天胜主任团队完成了一项高难度的股骨胫骨畸形手术。这个原本需要耗时5小时、大开放切口的手术,因为数字化技术的加持,变成了一台仅需2小时的微创手术。而患者的术后恢复时间也大大缩短。随着六院数字化骨科的健全和成熟,很多复杂骨手术变得简单、精准、高效,越来越多的骨病患者选择到沈阳六院来就医。
儿时的一次骨折,让她饱受X型腿的痛苦
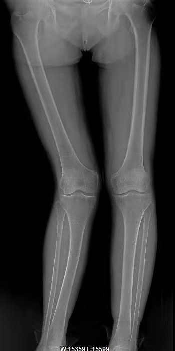
今年61岁刘女士近几个月膝盖疼的越来越厉害。因为儿时一次腿部骨折,造成刘女士右腿膝关节外翻,也就是老百姓常说的X型腿。刘女士表示年轻时还好,除了不太好看,还不怎么影响生活。不过随着年岁的增长,因为右腿的畸形而导致的疼痛越来越厉害,已经影响正常走路,不得不求助医生。听说沈阳六院骨科王天胜主任团队能够应用最先进的数字化技术进行矫正手术,刘女士便找到了王天胜主任,希望能够彻底治好这个畸形50多年的右腿。
王天胜主任表示,刘女士的病例比较少见,“第一眼看她的腿怀疑膝关节会有问题,而经过X射线检查,我们发现患者的关节内结构是好的,包括间隙都很好。她腿部畸形的原因是儿时胫腓骨骨折,股骨和胫骨的畸形愈合,愈合后逐渐出现膝外翻的情况,而且角度越来愈大,达到23.5度。以至于如今疼痛无法正常走路,膝关节肿胀。那么我们首先考虑的是进行保膝矫正手术。”

患者手术前的腿部X光片
3D打印助力,模拟手术减小风险
而对患者进行保膝矫正手术可不是件简单的事。王天胜主任从患者角度出发,考虑到今后的恢复和生活,他说:“如果把患者的膝关节置换了,也就是植入人工膝盖,患者在未来可能会涉及到二次手术,因为假体毕竟是有使用寿命的。因此即便难度很大,我们也要为患者进行保膝截骨手术。”
王天胜主任坦言,手术最大的困难就在于术前判断,包括截骨的位置和角度。“我们必须准确判断出股骨和胫骨的畸形位置,也就是需要从哪里进行截骨,它的角度是多少,我们要截掉多大角度的骨等等。这些都需要精细的计算,并精确到小数点后两位,不能有丝毫偏差。截少了没有起到矫正作用,截多了会造成内翻畸形,下肢短缩。”
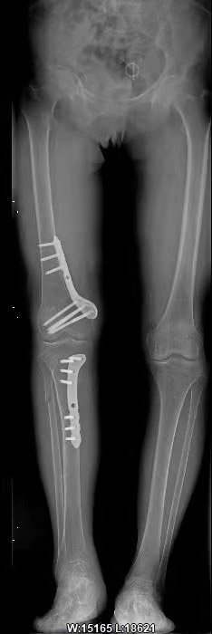
那么如何保证做到精准精确,万无一失呢?术前,王天胜团队为刘女士的患腿进行CT扫描,通过计算机建立模型,由3D打印机打印出1:1大小的股骨和胫骨。“通过3D打印的腿骨模型,我们能够在术前找到造成外翻的畸形点,明确截骨的角度和位置,同时进行术前模拟截骨,这让我们进一步论证了手术方案的可行”王天胜主任说。而正是因为这长达一周的充分的术前准备,以及王天胜主任精湛的技术,如今刘女士顺利进入术后恢复期,很快便能够如正常人一样行走。

患者手术后的腿骨完全被矫正,与对侧角度相同
数字化骨科,六院打造强专科
如今的六院骨科正在向着更精准更专业的角度发展。王天胜主任带领的六院骨科团队在数字化技术的加持下,以创伤、关节外科和运动医学为主,将许多传统复杂的手术微创化,让更多的患者能够大大缩短恢复时间,更快的回归正常生活。
对于刘女士的手术,王天胜主任表示,如果不是运用了数字化技术,刘女士的手术就会非常复杂:“首先是手术的创伤面会非常大。在传统手术中,最起码要有一个20公分的切口,把患者的股骨全部暴露出来。同时术中要反复进行X射线检查,反复测量,确定截骨点和截骨角度,即便是这样也会有一定的偏差,因为都是人为来判断,与经过计算机精确计算是无法相比的。而在这次刘女士的手术中,创口只有5公分。另外,患者的内置钢板也是通过3D打印技术量身定制的,因此钢板的位置、形状以及螺钉位置都非常精确,可谓严丝合缝,这些都会大大缩短患者的恢复期,由原本需要半年到如今的4周就可下地走动。整台手术时间也由原来的5小时缩短为2小时,极大的降低了手术风险,减少副反应的发生。”

王天胜主任讲解数字化骨手术
王天胜主任表示,六院骨科的数字化技术基本上所有的内固定手术都能用得到,而且没有禁忌症,因为3D打印的东西不会进入体内,只是给医生提供一个论证,相当于在真正给患者施行手术之前,先进行一次“模拟手术”,来论证手术方案。“我们能够做到最大程度避免手术风险,缩短手术时间。”
目前六院可以运用到3D打印技术的复杂骨手术杂包括骨盆骨折,髋臼骨折,陈旧性的髋关节脱位引起的股骨头坏死、需要做二次矫形手术的骨折,肩关节骨折、肩关节置换等。另外,六院的关节镜诊疗技术也十分成熟,可用于膝关节的微创治疗,仅通过通过一厘米的切口可以进行半月板的修正、缝合、前交叉韧带的重建和软骨的修复等。
