沈阳市第六人民医院:小粒子 大作为——放射性粒子植入灭活癌灶
- 2020-06-04
患者,男,57岁,患者1年半前无明确诱因出现乏力、肝区不适,休息后无好转。
2019年4月,患者就诊于外院,经CT检查,考虑肝细胞癌合并门脉左支癌栓形成、腹腔淋巴结转移。
2019年04月23日,患者行肝脏肿物穿刺活检提示“肝细胞癌”。
2019年05月10日,行经皮肝动脉造影、化疗栓塞术,术后恢复尚可。
2019年6月,患者因乏力加重到沈阳市第六人民医院就诊,完善肝脏影像学检查建议患者行介入手术治疗及化疗,靶向治疗,均被患者拒绝.
2019年12月行肝脏影像学检查提示门脉栓子形成,经系统检查诊断:
1. 肝恶性肿瘤
2. 肝门淋巴结转移
3. 乙肝肝硬化 活动性代偿期 C-P评分 A级 5分
4. 肝细胞癌介入术后
5. 酒精性肝硬化 失代偿期c-p A级5分
随 后,患者与沈阳市第六人民医院肿瘤介入综合科行肝组织间粒子植入,及门脉癌栓内粒子植入治疗,共植入37颗粒子,术后恢复良好出院。2020年4月8日复 查,肝增强MRI显示,病灶较前缩小,病灶内无明显强化,提示癌灶已坏死,门脉左右及主干支均通畅,肝门部及腹膜后淋巴结较前缩小。AFP 6.74 ng/ml,已降至正常。
放射性粒子植入治疗共应用放射性粒子37颗,住院期间总费用28163.58元,医保报销后个人负担6322元,医保负担和和个人治疗费用均低于其他治疗。

粒子手术前AFP值

粒子手术后AFP值

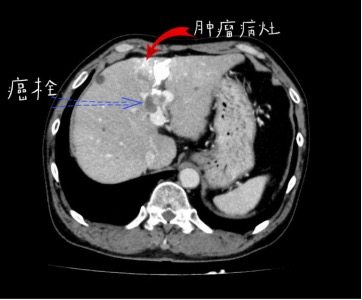
患者术前CT

粒子植入术中定位

粒子植入手术术中穿刺

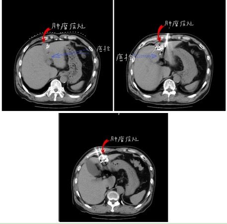
粒子手术后4个月复查
出院之际,患者将一面印有“医术精湛 医者仁心”的锦旗送沈阳市第六人民医院肿瘤介入综合治疗科王宁主任及其团队的医护人员手中,对该科医护人员精湛的医疗技术和优质周到的护理服务表示感谢。 这小小的一面锦旗不仅是对大家工作的肯定,更是对肿瘤介入综合治疗科全体医护人员的一种鞭策,它不断的激励着我们尽职尽责,全心全意为患者服务!

组织间放射性粒子植入(也称近距离)治疗法,是将微型放射源(粒子)植入肿瘤内或受肿瘤浸润的组织中,包括恶性肿瘤沿淋巴途径扩散的组织,通过放射性粒子源 发出持续低能量的γ射线,使肿瘤组织遭受最大程度的辐射损伤和破坏,而正常组织不受损伤或仅受轻微损伤,以达到治疗目的。
放射性粒子植入法适应证如下:
1.未经治疗的原发肿瘤。
2.需要保留的重要功能性组织或手术将累及重要脏器的肿瘤。
3.拒绝进行根治手术的肿瘤患者。
4.预防肿瘤局部扩散或区域性扩散。
5.转移性肿瘤或术后孤立转移灶失去手术价值者。
适用于该治疗的肿瘤类别:
ü 头、颈部肿瘤:口腔内肿瘤、鼻咽癌、颈部转移癌;
ü 胸部肿瘤:肺癌、纵膈肿瘤、胸壁肿瘤、乳腺癌;
ü 消化道肿瘤:肝癌、胰腺癌、直肠癌术后复发;
ü 泌尿系肿瘤:前列腺癌
ü 肾癌及肾上腺肿瘤
ü 妇科肿瘤:子宫颈癌、阴道癌;
ü 软组织肿瘤:横纹肌肉瘤等
ü 椎旁或椎体转移癌
【专家简介】

王宁,沈阳市第六人民医院肿瘤介入综合治疗科主任,博士后,副主任医师。院引进原中国人民解放军沈阳军区总医院放射肿瘤治疗中心专家。
出诊时间:周一至周五 全天
出诊地点:沈阳市第六人民医院门诊二楼
社会兼职:现任中国抗癌协会肿瘤微创治疗专业委员会 粒子治疗分会委员,中国抗癌协会肿瘤微创治疗专业委员会 肺癌微创综合治疗分会委员,辽宁省细胞生物学学会放射治疗专业委员会理事。
擅 长:潜心研究肿瘤综合治疗20余年,熟练掌握肿瘤介入治疗技巧,擅长放射性粒子植入、射频、微波消融、介入以及热化疗等肿瘤微创综合治疗。目前已采用放射 性粒子植入技术治疗肺癌、肝癌、纵隔肿瘤、胰腺癌、头颈部肿瘤、软组织肿瘤、肝门部胆管癌、淋巴结转移等恶性肿瘤2000余例,外周血管介入治疗数百例, 有丰富的微创综合治疗经验,对肿瘤放、化疗、靶向治疗、微创综合治疗有深入的研究,总结、撰写论文20余篇(第一作者及通信作者15篇),参编专著10余 部(副主编8部)。
